ACCESS‑AD verfolgt das Ziel, eine gemeinschaftliche, patientenorientierte Strategie für die Alzheimer‑Versorgung in Europa zu etablieren.
Presseinformation

Siemens Healthineers führender Partner bei EU Initiative für Alzheimer Versorgung

Veröffentlicht am 14. Januar 2026

Nicht zur Veröffentlichung in den USA 

  • ACCESS‑AD1 Projekt ist auf fünf Jahre angelegt und durch die europäische öffentlich‑private Partnerschaft Innovative Health Initiative (IHI) gefördert 
  • Konsortium vereint mehr als 30 Organisationen aus Forschung, Gesundheitsversorgung und Industrie 
  • Ziel ist es, den Zugang zu personalisierter Versorgung und Real‑World‑Evidenz für neue Therapien in der EU zu verbessern 
  • Siemens Healthineers ist führender Industriepartner und entwickelt Lösungen entlang des gesamten Alzheimer-Versorgungspfads 

Siemens Healthineers ist der führende Industriepartner einer zentralen EU‑Forschungsinitiative zur Verbesserung von Diagnose, Behandlung und Überwachung der Alzheimer‑Krankheit. Das Projekt ACCESS‑AD1 verfolgt das Ziel, eine gemeinschaftliche, patientenorientierte Strategie für die Alzheimer‑Versorgung in Europa zu etablieren. Das Programm startet im Januar 2026 und bringt mehr als 30 europäische Partner aus Gesundheitsversorgung, Universitäten, Patientenorganisationen und Industrie zusammen und bündelt damit Expertise aus den Bereichen Neurologie, Bildgebung, Data Science und Patientenvertretung. Das Fünfjahresprojekt wird durch die Innovative Health Initiative (IHI) kofinanziert, eine öffentlich‑private Partnerschaft zwischen der Europäischen Union und der Life‑Sciences‑Industrie. Die klinische Leitung liegt beim Amsterdam University Medical Center, das King’s College London und Gates Ventures sind Co‑Leads. Als Teil eines Alzheimer-Ökosystems treibt Siemens Healthineers die Entwicklung und Validierung von Lösungen entlang des gesamten Versorgungspfads voran – von Bluttests zur Früherkennung bis hin zu MRT- (Magnetresonanztomographie) und PET-Bildgebung (Positronen-Emissions-Tomographie) für die Diagnostik und Überwachung des Therapieverlaufs. 

Alzheimer bleibt eine große medizinische und gesellschaftliche Herausforderung: Allein in der Europäischen Union sind mehr als 7 Millionen Menschen betroffen – eine Zahl, die voraussichtlich bis 2050 auf das Doppelte ansteigen wird.2 Die Auswirkungen betreffen nicht nur die Patientinnen und Patienten selbst, sondern auch ihre Familien, Pflegepersonen und die Gesundheitssysteme. Während sich die Behandlung traditionell auf die Symptome konzentrierte, bietet die Zulassung neuer krankheitsmodifizierender Therapien in der Europäischen Union seit 2025 Hoffnung. Viele nationale Gesundheitssysteme sind jedoch durch diagnostische Engpässe und begrenzte Kapazitäten eingeschränkt und können die Nachfrage nach Tests, Bildgebung und spezialisierter Nachsorge bereits jetzt nicht decken. In einigen Ländern könnten die Wartezeiten für diese Leistungen ohne innovative Ansätze auf Jahre anwachsen. ACCESS-AD adressiert diesen Bedarf und begleitet die Patientinnen und Patienten von der Diagnose und Therapieentscheidung über die Behandlung bis hin zum fortlaufenden Monitoring – auch unter Berücksichtigung von Erkenntnissen aus anderen Alzheimer-bezogenen IHI-Initiativen. 

Ziel der Initiative ist es, die Versorgung durch standardisierte Abläufe sowie den Einsatz modernster Industrielösungen und künstlicher Intelligenz (KI) zu verbessern. Dazu zählen die Analyse von Bilddaten, Bluttests und digitalen Gesundheitsdaten, um das Therapieansprechen vorherzusagen und Patientinnen und Patienten mit erhöhtem Komplikationsrisiko zu identifizieren. Darüber hinaus wird Real‑World‑Evidenz von mehr als 500 Patientinnen und Patienten in Europa gesammelt und eine Pilotstudie durchgeführt, die Kombinationen aus medikamentösen Therapien und Veränderungen des Lebensstils untersucht. 

Das Portfolio von Siemens Healthineers deckt den gesamten Alzheimer‑Versorgungspfad ab – von labordiagnostischen Lösungen bis hin zu hochmoderner Bildgebung und digitalen Tools. „Die Versorgung von Patientinnen und Patienten mit Alzheimer ist derzeit geprägt durch fragmentierte und verzögerte Abläufe. ACCESS‑AD bringt führende Organisationen aus ganz Europa zusammen, um fortschrittliche Diagnostik und Therapien für jeden zugänglich zu machen“, sagte Amira Romani, Leiterin Innovation & Technology Strategy bei Siemens Healthineers. „Es ist ein eindrucksvolles Beispiel dafür, was möglich ist, wenn Industrie, Wissenschaft und klinische Partner zusammenarbeiten, um Wirkung zu erzielen – zum Nutzen jedes einzelnen Patienten.“ 

Im Rahmen von ACCESS AD will es Siemens Healthineers Patientinnen und Patienten künftig ermöglichen, Blutproben zu Hause zu entnehmen. Wichtige Alzheimer‑Biomarker können anschließend auf den Laborplattformen des Unternehmens analysiert werden. „Das Programm für die häusliche Blutentnahme unterstützt nicht nur Patientinnen und Patienten und Pflegekräfte. Auch das Gesundheitssystem wird entlastet, indem Engpässe in spezialisierten Zentren reduziert und durch häufigere und leichter zugängliche Tests ein früheres Eingreifen möglich werden. Dies ist ein wichtiger Schritt, um präzise Diagnostik europaweit skalierbar und fair zu machen“, sagte Gaby Marquardt, Leiterin Clinical & Technology Innovation im Bereich Diagnostics bei Siemens Healthineers. 

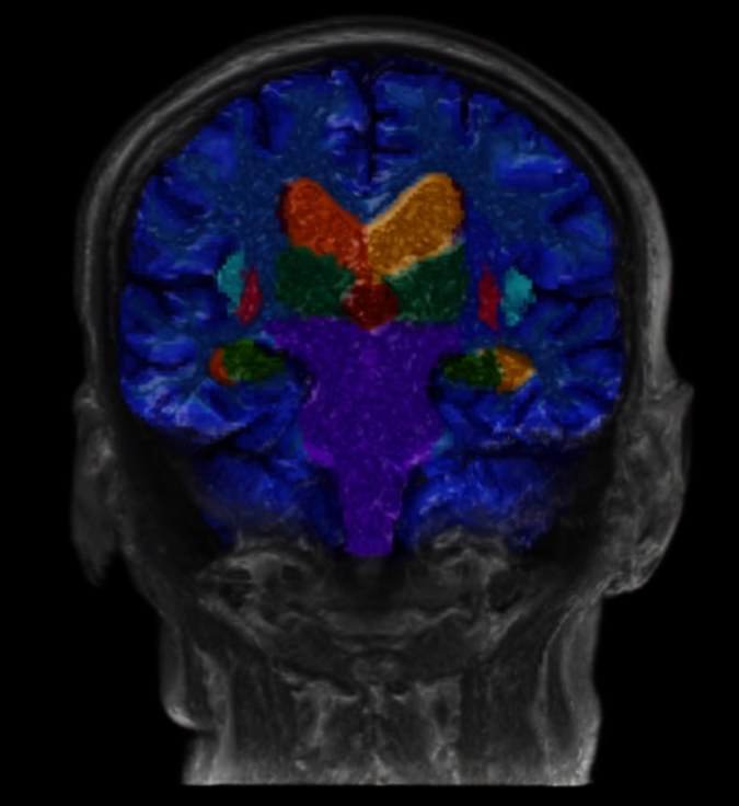
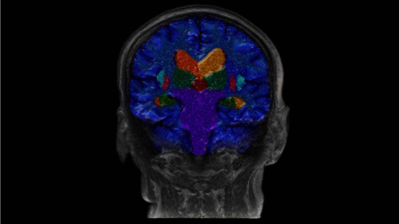
Zudem wird Siemens Healthineers dazu beitragen, technische, organisatorische und finanzielle Hürden zu senken, die bislang den Zugang zu hochqualitativer Bildgebung des Gehirns in Europa begrenzen. Dies umfasst die Entwicklung und klinische Einführung fortschrittlicher MRT‑ und PET/CT‑Lösungen auch über spezialisierte Zentren hinaus. Im Bereich MRT könnte dies etwa kompakte, heliumfreie DryCool‑Magnet-Technologien3, KI‑gestützte Workflows und Bildrekonstruktion sowie beschleunigte Schädel‑Protokolle für deutlich kürzere Untersuchungszeiten umfassen. „Die ACCESS‑AD Initiative unterstreicht unseren zunehmenden Fokus auf das Management von Erkrankungen, sowie unser Engagement für bessere Gesundheitsergebnisse“, sagte Andreas Schneck, Leiter Magnetresonanztomographie bei Siemens Healthineers. „Indem wir modernste Neurobildgebung breiter zugänglich machen, wollen wir Bildgebungsprozesse für die Diagnose und Verlaufskontrolle der Alzheimer‑Krankheit gezielt verbessern. So versetzen wir Gesundheitseinrichtungen in die Lage, eine präzisere, patientenorientierte Versorgung zu erbringen.“

Weitere Informationen zu ACCESS-AD finden Sie hier.
Weitere Informationen zur Alzheimer Erkrankung (in englischer Sprache) finden Sie hier.

1
2
3

Siemens Healthineers 2026

Siemens Healthineers leistet Pionierarbeit im Gesundheitswesen. Für jeden Menschen. Überall. Nachhaltig. Das Unternehmen ist ein weltweiter Anbieter von Geräten, Lösungen und Dienstleistungen im Gesundheitswesen. Siemens Healthineers ist in mehr als 180 Ländern aktiv und in mehr als 70 Ländern direkt vertreten. Der Konzern besteht aus der Siemens Healthineers AG, gelistet in Frankfurt am Main unter SHL, und ihren Tochtergesellschaften. Als ein führendes Medizintechnikunternehmen setzt sich Siemens Healthineers dafür ein, den Zugang zu medizinischer Versorgung für unterversorgte Bevölkerungsgruppen weltweit zu verbessern und die schwerwiegendsten Krankheiten zu überwinden. Das Unternehmen ist vor allem in den Bereichen der Bildgebung, Diagnostik, Krebsbehandlung und minimalinvasiven Therapien tätig, ergänzt durch digitale Technologie und künstliche Intelligenz. Im Geschäftsjahr 2025, das am 30. September 2025 endete, hatte Siemens Healthineers rund 74.000 Beschäftigte weltweit und erzielte einen Umsatz von rund 23,4 Milliarden Euro. Weitere Informationen finden Sie unter siemens-healthineers.com.