XA UpgradesYour system, plus more.

Clinical imaging is evolving and demanding more from your MRI system every day. Whether you're looking to increase patient throughput, advance into more complex clinical imaging, improve the scanning experience for staff and patients, or make a forward-thinking, sustainable investment, the XA Upgrade is designed for you.

XA Upgrades preview image

Benefits

myExam Companion
myExam Companion breaks down the barriers of complex MRI operations using a new philosophy on how to operate MRI. It leverages the new possibilities of digitalization and AI, to turn data into integrated expertise and tailored assistance. With this, myExam Companion automates scanning workflows, positions the patient automatically and ensures reliable implant scanning. This is intelligence that works with you.
Learn more about myExam Companion

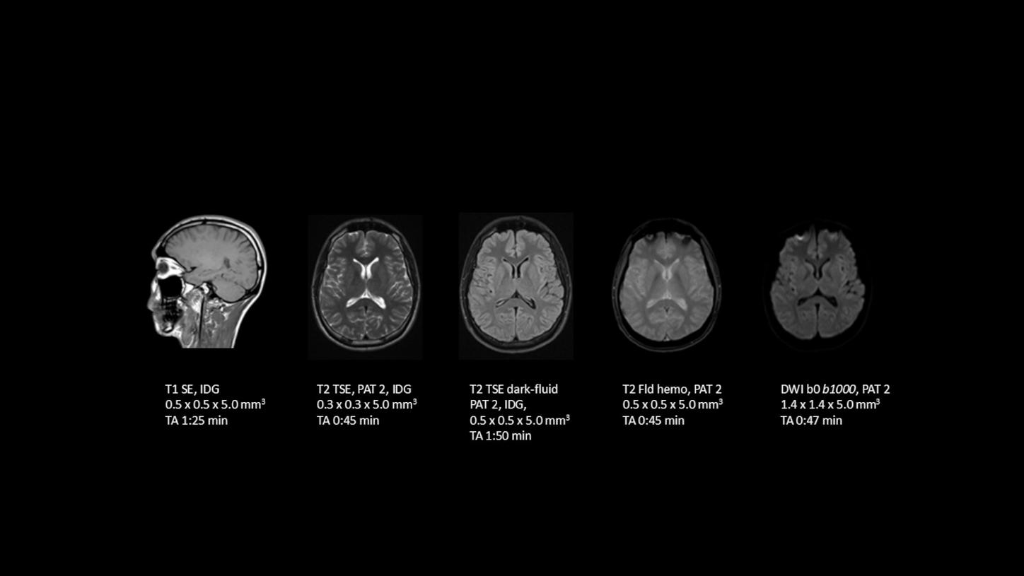
Deep Resolve is at the forefront of the revolution in MRI acceleration. Deep Resolve delivers our fastest MRI, delivering images of extraordinary clarity, higher clinical productivity, and a better patient experience. 

Learn more about Deep Resolve

XA Upgrades offer energy saving technologies that holistically apply to daily operations. With these technologies you can reduce your energy consumption by ~40% with Eco Power and Eco Gradient Mode as well as using Deep Resolve.1,2

Learn more about sustainability in MRI
myExam Companion
myExam Companion breaks down the barriers of complex MRI operations using a new philosophy on how to operate MRI. It leverages the new possibilities of digitalization and AI, to turn data into integrated expertise and tailored assistance. With this, myExam Companion automates scanning workflows, positions the patient automatically and ensures reliable implant scanning. This is intelligence that works with you.
Learn more about myExam Companion

Evidence

MAGNETOM Sempra and Amira with syngo XA50M

MAGNETOM Sempra and 
Amira

with syngo XA50M


MAGNETOM Aera, Skyra,  Prisma, Prisma fit with syngo XA60A

MAGNETOM Aera, Skyra, 
Prisma, Prismafit

with syngo XA60A


MAGNETOM Avanto fit, Skyra fit  with syngo XA61A

MAGNETOM Avantofit and 
Skyrafit 

with syngo XA61A


For full features download the What’s new? Brochure for syngo MR XA50M, syngo MR XA60A, syngo MR XA61A

1
2
3
4