True Volume TEE Transducer
Travel at the speed of life, without missing a single beat.
The Z6Ms True Volume TEE Transducer provides full volume transesophageal imaging with real-time frame rates. It offers Bi-plane+, high volume rate B-mode and volume color Doppler, and is fully shielded to reduce interference.
Smart ButtonsThermal ManagementTip DesignPrecision at the Speed of Life
1/5

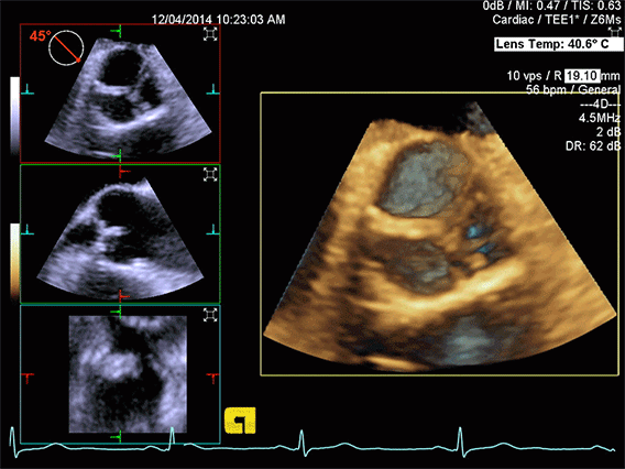
Advanced Aortic Valve Measurements with eSie Valves

Aortic Valve Enface

Aortic Valve with Color

Aortic Valve Model with Analysis

Aortic Valve Model with Analysis

Advanced Aortic Valve Measurements with eSie Valves

Aortic Valve Enface

Aortic Valve with Color

Aortic Valve Model with Analysis

Aortic Valve Model with Analysis

Advanced Aortic Valve Measurements with eSie Valves





1/5
1/8

Dynamic MV and AV Model with Regurgitation

2D Mitral Valve with Color Doppler

Mitral Valve Bi-plane+

Simultaneous Atrial and Ventricular Volume using Dual V

Volume Color Doppler

Mitral Valve Model

Mitral Valve Synchronize

Mitral Valve Imaged with Bi-Plane+ with color Doppler

Dynamic MV and AV Model with Regurgitation

2D Mitral Valve with Color Doppler

Mitral Valve Bi-plane+

Simultaneous Atrial and Ventricular Volume using Dual V

Volume Color Doppler

Mitral Valve Model

Mitral Valve Synchronize

Mitral Valve Imaged with Bi-Plane+ with color Doppler

Dynamic MV and AV Model with Regurgitation








1/8
1/8

Mitral Valve Analysis showing Leaflet area Measurements

Dynamic Aortic Valve Model

Mitral and Aortic Valve Modeling

Aortic Valve Measurements

Aortic Valve Model with Aortic Stenosis

Mitral Valve Model with Volume Color Doppler

Mitral Valve Model with Regurgitation

Mitral Valve Model within Volume

Mitral Valve Analysis showing Leaflet area Measurements

Dynamic Aortic Valve Model

Mitral and Aortic Valve Modeling

Aortic Valve Measurements

Aortic Valve Model with Aortic Stenosis

Mitral Valve Model with Volume Color Doppler

Mitral Valve Model with Regurgitation

Mitral Valve Model within Volume

Mitral Valve Analysis showing Leaflet area Measurements








1/8
1/18

Mitral Valve EROA Post-MitraClip®

2D Mitral Valve

Mitral Regurgitation with 2d Color Doppler

Bi-plane+ of Mitral Valve

Bi-plane+ Imaging with Color Doppler

3D/4D of Mitral Valve

Volume Color Doppler of Mitral Valve

Mitral Valve EROA Pre-MitraClip

Septal Guide

Septal Pun

Device Navigation with Volume B-mode

MitraClip® Deployment

MitraClip® Deployment with Bi-plane+ Imaging

Simultaneous Atrial and Ventricular Volume View

Volume B-mode 2nd Clip Deployment

Bi-plane+ 2nd Clip Deployment

MitraClip® Deployment with Dual V

Volume Color Doppler Post Deployment

Mitral Valve EROA Post-MitraClip®

2D Mitral Valve

Mitral Regurgitation with 2d Color Doppler

Bi-plane+ of Mitral Valve

Bi-plane+ Imaging with Color Doppler

3D/4D of Mitral Valve

Volume Color Doppler of Mitral Valve

Mitral Valve EROA Pre-MitraClip

Septal Guide

Septal Pun

Device Navigation with Volume B-mode

MitraClip® Deployment

MitraClip® Deployment with Bi-plane+ Imaging

Simultaneous Atrial and Ventricular Volume View

Volume B-mode 2nd Clip Deployment

Bi-plane+ 2nd Clip Deployment

MitraClip® Deployment with Dual V

Volume Color Doppler Post Deployment

Mitral Valve EROA Post-MitraClip®


















1/18
1/6

Aortic Valve Imaging Post Procedure with Volume color Doppler

Aortic Valve Enface

Aortic Valve Imaging During Procedure

Aortic Valve Imaging During Procedure

Bi-Plane+ Imaging During Procedure

Aortic Valve Imaging Post Procedure

Aortic Valve Imaging Post Procedure with Volume color Doppler

Aortic Valve Enface

Aortic Valve Imaging During Procedure

Aortic Valve Imaging During Procedure

Bi-Plane+ Imaging During Procedure

Aortic Valve Imaging Post Procedure

Aortic Valve Imaging Post Procedure with Volume color Doppler






1/6