心臓CTにおけるバンディングアーチファクトの解消
装置更新前は320列CTを使っていましたので、心臓検査時の心拍変動や息止め不良に伴うバンディングアーチファクトへの対応に、現場の技師は不安を感じていました。しかしPro.Pulse には、バンディングアーチファクトを抑制する新しいアルゴリズム「ZeeFree」が搭載されており、心拍変動、不整脈、呼吸性移動に伴うバンディングアーチファクトを解消してくれます。高心拍や不整脈の患者さんでもβブロッカーを使わずに心臓検査ができることに関して、循環器の医師からも高い評価が得られました。
中央放射線室 福光 忠 室長、水落 勇気 副主幹
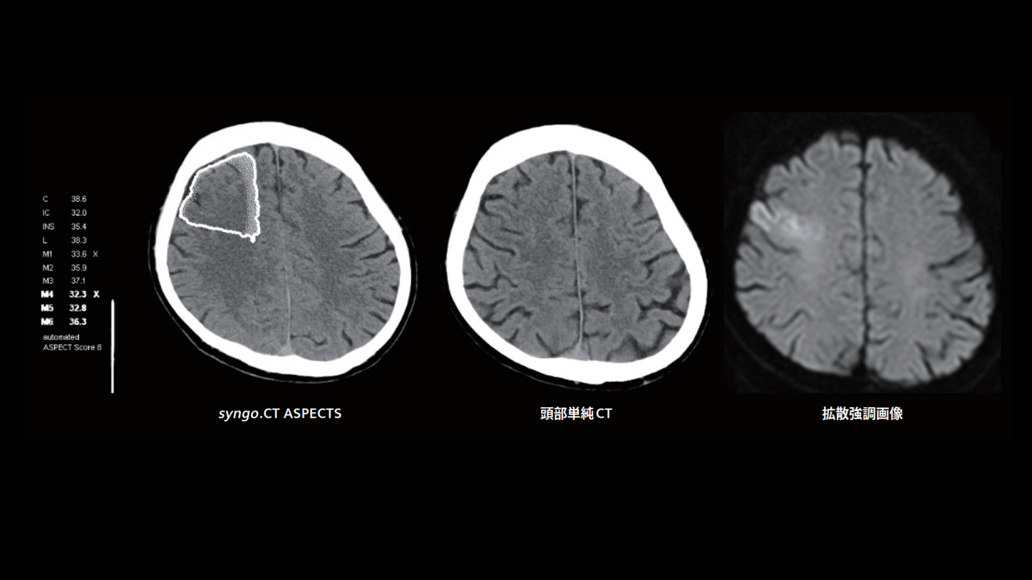
急性期脳梗塞による低吸収域の検出
syngo.CT ASPECTS(早期脳虚血変化の検出)に代表されるアプリケーションは、画像所見の見落としを防ぐための非常に有用な診断支援機能だと感じています。従来の頭部単純CTでは検出しづらかった急性期脳梗塞による低吸収域がsyngo.CT ASPECTSで検出され、同日の頭部MRI 検査の拡散強調画像でも同部位に高信号を示す脳梗塞が確認されました(発症 8:45、病着 9:23、CT 撮影 9:45、ELVO (-))。最終的にMRIで診断するにしても、CTによるsyngo.CT ASPECTSで早期脳虚血変化を検出できれば、重点的にその部分を確認できますので、臨床上とてもありがたいことです。
放射線科 河合 剛 部長
全身骨の骨転移を短時間でスクリーニング
右股関節痛を訴える肺がん患者さんの単純 CTでは、DE Bone Marrow によって右臼蓋部に左右差のある異常所見が検出され、骨転移の診断に至りました。全身骨を比較的短時間でスクリーニングできるDE Bone Marrow の効果が発揮された一例といっていいでしょう。
当院にはPET/CTがありませんので、DE 解析で骨転移の場所がある程度特定されるのであれば、積極的に活用していきたいと思います。
放射線科 河合 剛 部長
認証番号:306AABZX00010000



