ARTIS genioVersatility. Powered by AI.
ARTIS genio floor1 delivers state-of-the art angiography technologies in one compact, highly versatile system.
- Intelligent AI-enhanced imaging for excellent productivity.
- Delivering high-quality care with the reassurance of a future-proof, sustainable investment.
- Planned to be available as both both floor and ceiling2 mounted configurations, for interventional radiology, cardiovascular care, and minimally invasive surgery.

Benefits
Courtesy Prof. Sossalla, MD, Kerckhoff-Klinik, Bad Nauheim, Germany
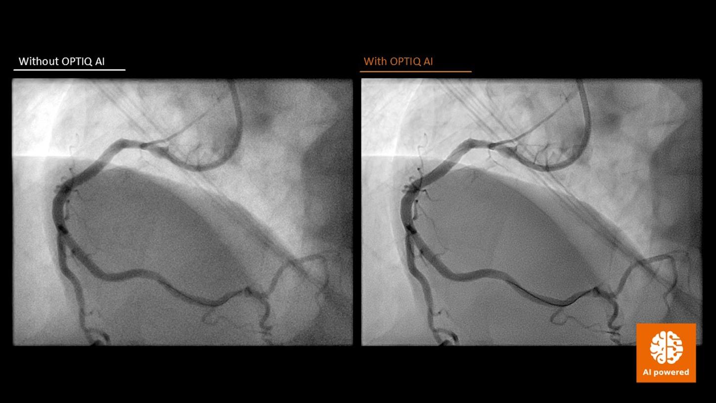
- OPTIQ AI consistently delivers images at the desired quality, defined by contrast-to-noise ratio, while minimizing radiation dose in accordance with the ALARA3 principle - throughout the procedure.
- Device visibility is automatically optimized based on the X-ray absorption characteristics of each material.
- An AI-powered algorithm reduces image noise in real time, preserving and visualizing the contained image structures more effectively4,5 across all 2D imaging modes6 and body regions.
ARTIS Touch UI
- Sterile operation directly from the detector featuring SID lift, angulations, transversal movements, detector rotation - all designed to streamline procedural workflow.
- The 3D Wizard supports you during 3D acquisitions providing the right protocol, injection details and other helpful information.
- The state-of-the-art user interface, now with a pilot module, is designed for faster workflows and intuitive use.
- The new ARTIS Touch UI offers a tableside, gesture-controlled interface for intuitive 2D and 3D image review7, with system parameters and live images visible - for technologists even from the foot end of the table.
MEGALIX Cat plus X-ray tube
- The MEGALIX Cat plus x-ray tube features two or three focal spots and flat emitter technology (small focus) for excellent detail resolution.
- The quadratic shape of the focal spots ensures consistently high resolution in all directions and supports a maximum pulsed fluoroscopy current of up to 250 mA.
- In this context, high copper prefiltration enables low patient dose without compromising image quality.
- With a compact design and light weight of only 36 kg the MEGALIX Cat plus tube allows for a slim stand design with excellent patient access.
- For every procedure step, combine a wide range of system settings into personalized Case Flows - accessible instantly with a single click.
- Configure the system just once for each procedure step, including C-arm position, angulation and SID, imaging parameters and zoom, display layout and input selection and more.
- Activate your customized Case Flows with a single touch, eliminating up to six manual interactions.
Evidence
What your peers are saying
ARTIS genio floor has already proven itself during numerous procedures in the cath lab, including a cardiac catheterization procedure on an 86-year-old obese patient. Maren Weferling, MD, of the Kerckhoff-Klinik in Germany, highlighted the ease of use and image quality of the angio machine. Hear from her which features of the new c-arm particularly impressed her.
ARTIS genio floor system configurations

1
ARTIS genio floor is pending 510(k) clearance, and is not yet commercially available in the United States. Rest of world: ARTIS genio floor is under development and not commercially available. The future availability cannot be ensured.
2
ARTIS icono.genio ceiling is under development and not available for sale. The future availability cannot be ensured.
3
As low as reasonably achievable
4
Compared to predicate denoising functionality in VE40
5
In a phantom setting. The noise reduction was assessed through non-clinical testing using phantom-generated images. The preservation ofstructure was assessed by comparing to the ground truth using the Structural Similarity Index Measure.
6
Fluoroscopy, acquisition, DSA, Roadmap, ClearStent, Overlay Reference
7
Not for diagnostic use.
8
syngo Application Software needed
9
ARTIS icono.explore floor is pending 510(k) clearance, and are not yet commercially available in the United States. Rest of world: ARTIS icono.explore floor is under development and not commercially available. The future availability cannot be ensured.
10
ARTIS icono.vision is under development and not available for sale. The future availability cannot be ensured. ARTIS icono.vision is an edition of ARTIS icono.
11
ARTIS pheno.vision is under development and not available for sale. The future availability cannot be ensured. ARTIS pheno.vision is an edition of ARTIS pheno.
12
OPTIQ AI is pending 510(k) clearance, and is not yet commercially available in the United States. Rest of world: OPTIQ AI is under development and not commercially available. The future availability cannot be ensured.
The statements by customers of Siemens Healthineers described herein are based on results that were achieved in the customer's unique setting. Since there is no "typical” hospital and many variables exist (e.g., hospital size, case mix, level of IT adoption) there can be no guarantee that othercustomers will achieve the same results








