MAGNETOM
Flow. Platform
Empowering you.
Introducing MAGNETOM Flow. Platform, our next-generation 1.5T MRI that ushers in a new era of AI-powered, helium-independent1 MRI.
The MAGNETOM Flow. Platform empowers you with intelligent workflows and deep learning to bring the highest quality results at the fastest speeds, while delivering the latest helium, siting, and energy savings. The first fully scalable 70 cm system, the MAGNETOM Flow. Platform can transform as patient and healthcare needs evolve.
Smart with an intelligent, AI-powered workflow.
Simple with automation that reduces MRI complexity.
Sustainable with savings on helium, siting, and energy.
MAGNETOM Flow. Platform: a revolutionary new flow in MRI that empowers you to perform like never before!


Benefits
MAGNETOM Flow. Platform introduces a truly sustainable, helium-free solution at 1.5T. With only 0.7 I of liquid helium and DryCool technology, the sealed-for-life magnet design requires no helium refills.
With no quench pipe and an ultra-compact footprint of only 25m2, MAGNETOM Flow. Platform empowers healthcare providers to meet the increasing demand for MRI. By enabling cost-effective siting, the system unlocks the possibility to deploy scanners in challenging spaces.
MAGNETOM Flow. Platform expands sustainability beyond helium. In addition to DryCool technology, the system provides annual energy savings of up to 56%2, achieved through our unique features including the smart System Timer and Eco Power Mode Pro.
Patient registration, positioning, and scan initiation can be performed right at the patients' side, giving operators greater efficiency and time to focus on patient care. To further enhance patient comfort, the system is equipped with BioMatrix Contour coils with integrated sensors enabling the scanner to adapt seamlessly to each patient, ultimately simplifying workflow.
Enabled by the power of AI, myExam Companion guides users of all skill levels through the entire workflow. Whether it’s a true push-button scan with myExam Autopilot for routine procedures, or intelligent guidance and automation with myExam Assist for more advanced examinations, the software supports more than 90%3 of body regions.
MAGNETOM Flow. Platform delivers the highest quality imaging for every clinical discipline. From routine to advanced imaging, from head to toe, and from cardiac to oncology cases, the scanner adapts to a wide range of imaging needs. Regardless of the type of institution, throughput demand, or clinical specialty, MAGNETOM Flow. Platform empowers you to achieve clinical excellence.
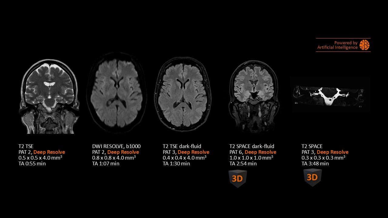
Deep Resolve, our AI-powered tool used to boost signal and resolution, enables you to exploit advanced acceleration techniques while maintaining extraordinary clarity. Faster scans, faster results, better patient experience!
MAGNETOM Flow. Platform integrates seamlessly into any healthcare set-up from day one. The system utilizes software tools to harmonize the platform across an entire fleet, ultimately driving performance and uptime.
MAGNETOM Flow. Platform is planned to be uniquely upgradeable and seamlessly adaptable to meet any clinical need, providing unparalleled flexibility and future-proofing for evolving healthcare demands. With MAGNETOM Flow. Platform you will be able to upgrade your channel configuration, gradient strength, and patient table.
Evidence
Related Products, Services & Resources
Downloads

|
Download








