
Orthopedic Applications:
syngo® MAPit
Provide in-line calculation of parametric maps based on the T1, T2, and T2* properties of the cartilage. (Image Fusion recommended with this application).
usa.siemens.com/mapit

Image Fusion
Fuse morphological and functional information for optimal diagnostic capabilities.
usa.siemens.com/imagefusion

3D CISS and 3D DESS
Perform high-resolution 3D studies with sequences and protocols.
usa.siemens.com/ciss-dess

Angiography Applications:
syngo® TWIST
Achieve time-resolved 3D MR angiography with high spatial and/or temporal resolution.
usa.siemens.com/twist

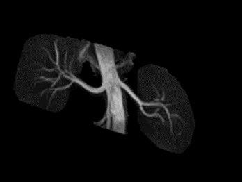
syngo™ NATIVE
Perform MR angiography without intravenous contrast medium.
usa.siemens.com/native

Neurology Applications:
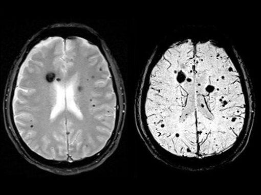
syngo® SWI
See intracranial bleeding more reliably.
usa.siemens.com/swi

syngo® DTI
Capture better visualizations of brain connectivity by acquiring 3D fiber views.
usa.siemens.com/dti

syngo® DTI Evaluation
Enable semi-quantitative evaluation of the rate and direction of water motion within a voxel.
usa.siemens.com/dti-evaluation

syngo® DTI Tractography
Visualize white matter in the brain in 3D to aid in neurosurgical planning
usa.siemens.com/dti-tractography

Other Applications
syngo® BLADE
Eliminate motion and obtain robust images in neurological, orthopedic, and body examinations.
usa.siemens.com/blade
