
Why DAX?
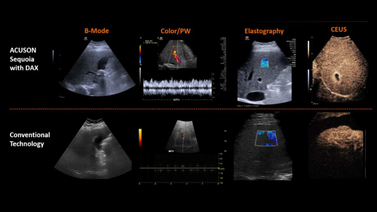
Every patient deserves a definitive ultrasound, even when the exam is difficult. The DAX Deep Abdominal transducer for ACUSON Sequoia brings clarity at depth and consistent visualization of deep anatomy while reducing the force needed to scan.
In high-BMI and technically challenging cases, it helps elevate B-mode and Doppler performance and works seamlessly with advanced applications such as shear wave elastography, Ultrasound-derived Fat Fraction, and contrast-enhanced ultrasound. The result is a gentler exam, clearer answers, and decisions made with confidence.
Challenges
Radiology departments are often challenged by obesity and conventional technology that can limit diagnostic accuracy due to deep vessels, deep lesions, or severe disease.



