Contexto
La ecografía es una herramienta eficaz para procedimientos intervencionistas, ya que proporciona información dinámica en tiempo real y no utiliza radiación. Los desafíos inherentes a la ecografía, como la presencia de gas intestinal o la baja detectabilidad de ciertas lesiones, pueden superarse con modalidades como la tomografía computarizada (TC) o la resonancia magnética (RM). Sin embargo, estas modalidades carecen de la ventaja del tiempo real que ofrece la ecografía. Gracias a los avances tecnológicos, hoy en día la ecografía puede fusionarse con imágenes de TC o RM, lo que permite una imagen dinámica y multimodal que ofrece una mayor confianza diagnóstica. Esta asociación sincrónica de la ecografía con la TC o la RM permite al clínico aprovechar las fortalezas de cada modalidad de imagen (por ejemplo, el aspecto en tiempo real de la ecografía) y minimizar sus debilidades (como las lesiones de baja visibilidad en la ecografía). Esta asociación sincrónica puede perfeccionarse aún más con la incorporación de la ecografía con contraste (CEUS). Los agentes de contraste para ecografía no son nefrotóxicos y pueden proporcionar valiosa información vascular para la caracterización de masas hepáticas o enfermedades activas durante el examen ecográfico en tiempo real. El sistema de ultrasonido ACUSON Sequoia ofrece una imagen de agentes de contraste de alta calidad que brinda al usuario una sensibilidad y penetración excepcionales. El uso combinado de fusión y ecografía con contraste proporciona información diagnóstica adicional que se obtiene fácilmente mediante opciones de alineación automáticas y manuales para una fusión sencilla.
Historia
Paciente femenina de 24 años con carcinoma cortical suprarrenal agresivo y metástasis hepática, tratada mediante la extirpación quirúrgica del tumor primario y de la metástasis hepática. En las notas quirúrgicas se registró una complicación hemorrágica que requirió la colocación de clips metálicos. La patología determinó que el margen de resección del área metastásica en el hígado no estaba libre de enfermedad (clasificación R1), por lo que la paciente fue derivada a radioterapia. Como parte del protocolo de tratamiento con radioterapia, se solicitó y realizó una resonancia magnética (RM) con contraste. Sin embargo, la paciente presentó una reacción alérgica al agente de contraste utilizado en la RM. Se programó un seguimiento a tres meses para evaluar la efectividad del tratamiento de radioterapia en los márgenes de resección. Debido a la contraindicación del uso de contraste para RM, fue necesario implementar un plan alternativo de evaluación. Se decidió utilizar una combinación de RM sin contraste junto con una ecografía con contraste (CEUS) para evaluar la efectividad del tratamiento. Para asegurar una evaluación completa del área tratada, se empleó la tecnología de Fusión disponible en el sistema de ultrasonido ACUSON Sequoia durante el examen CEUS
Imágenes y Discusión
El objetivo del seguimiento a tres meses fue determinar si el margen de resección aún contenía tejido tumoral activo o si la radioterapia había logrado erradicar el tejido metastásico.
Las imágenes de RM T2 sin contraste mostraron claramente el área tratada como una zona hipointensa, con un borde hiperintenso asociado. Sin embargo, estas imágenes tuvieron un valor limitado para determinar la actividad tumoral residual debido a la falta de agente de contraste.
Se realizó una ecografía 2D de la región de interés (ROI). Además de los clips quirúrgicos, previamente identificados en el área tratada, la ecografía mostró parénquima hepático con baja conspicuidad en comparación con el tejido circundante [Fig. 1].
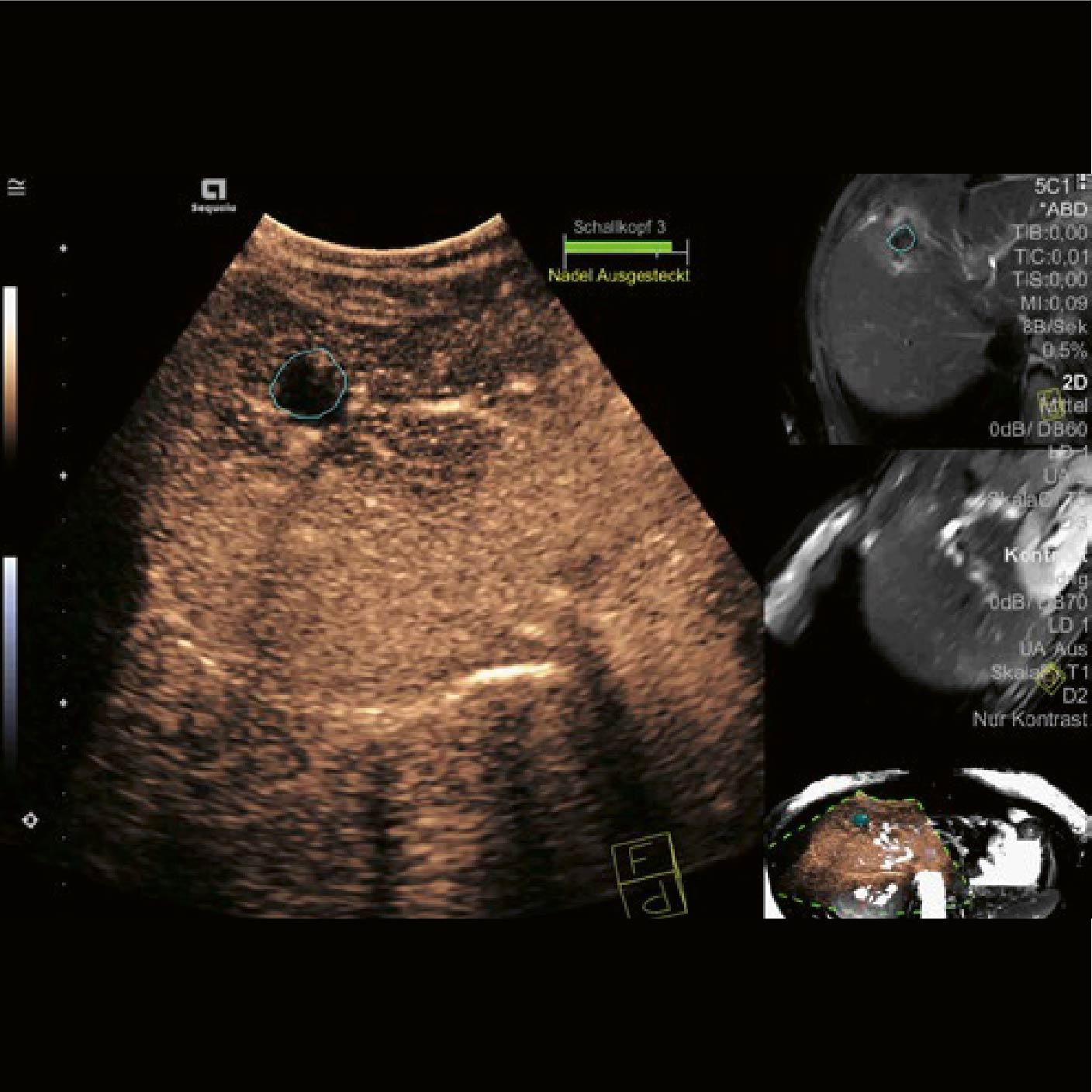
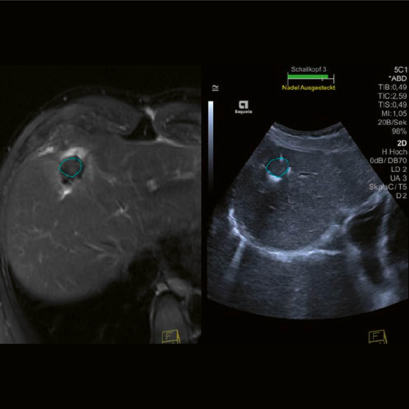
Las imágenes de la RM fueron cargadas en el sistema ACUSON Sequoia y se activó la tecnología de Fusión. Durante la fase de planificación, se utilizó segmentación automática para alinear de manera eficaz el área tratada [círculo azul Fig. 2].
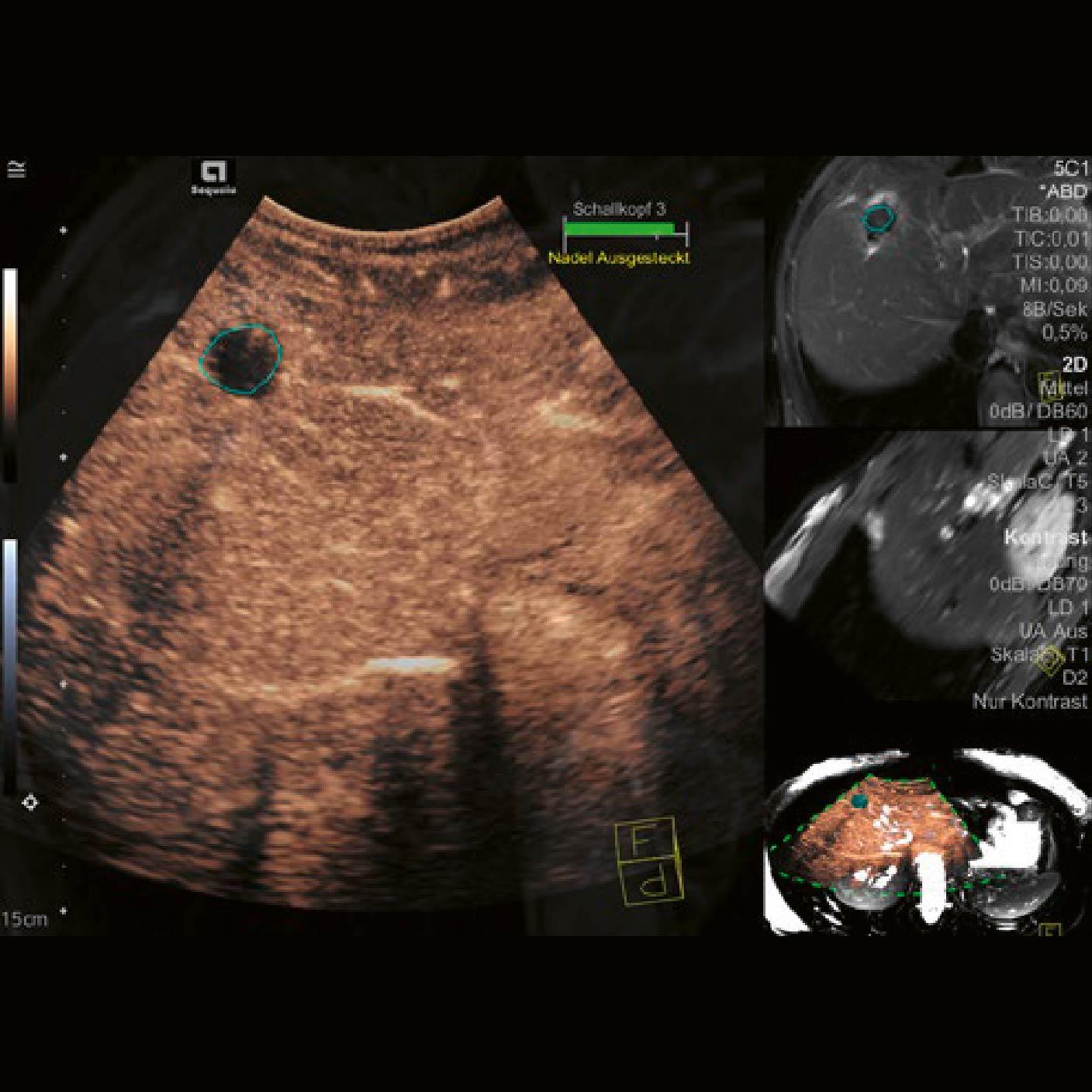
La administración de microburbujas como agente de contraste mostró que el área tratada era hipoecoica en la fase arterial [Fig. 3], característica que se mantuvo en la fase portal [Fig. 4]. Basándose en las características hipo-realzadas de la ROI observadas con CEUS, se concluyó que no había nuevas lesiones presentes.
Conclusión
En este caso, donde el uso de un agente de contraste tradicional estaba contraindicado, la combinación de la tecnología de Fusión y la ecografía con contraste (CEUS) ofreció una alternativa excepcional para el seguimiento por imágenes y el diagnóstico definitivo de esta paciente.




