Explore clinical images from MAGNETOM Free.Max
Evaluate the image quality by directly browsing the full data sets
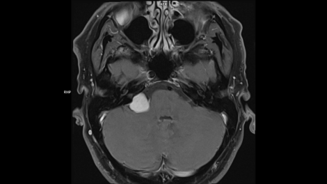
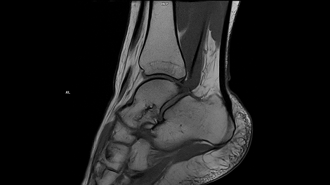
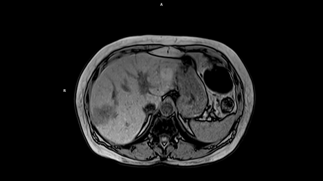
Whether it is head, neck, spine, abdomen or MSK – our clinical experts have complete confidence in the ability of MAGNETOM Free.Max to deliver excellent diagnostic quality for all these standard clinical MRI applications.
*This DICOM web viewer is optimized for big screens and does not work on mobile phones.
