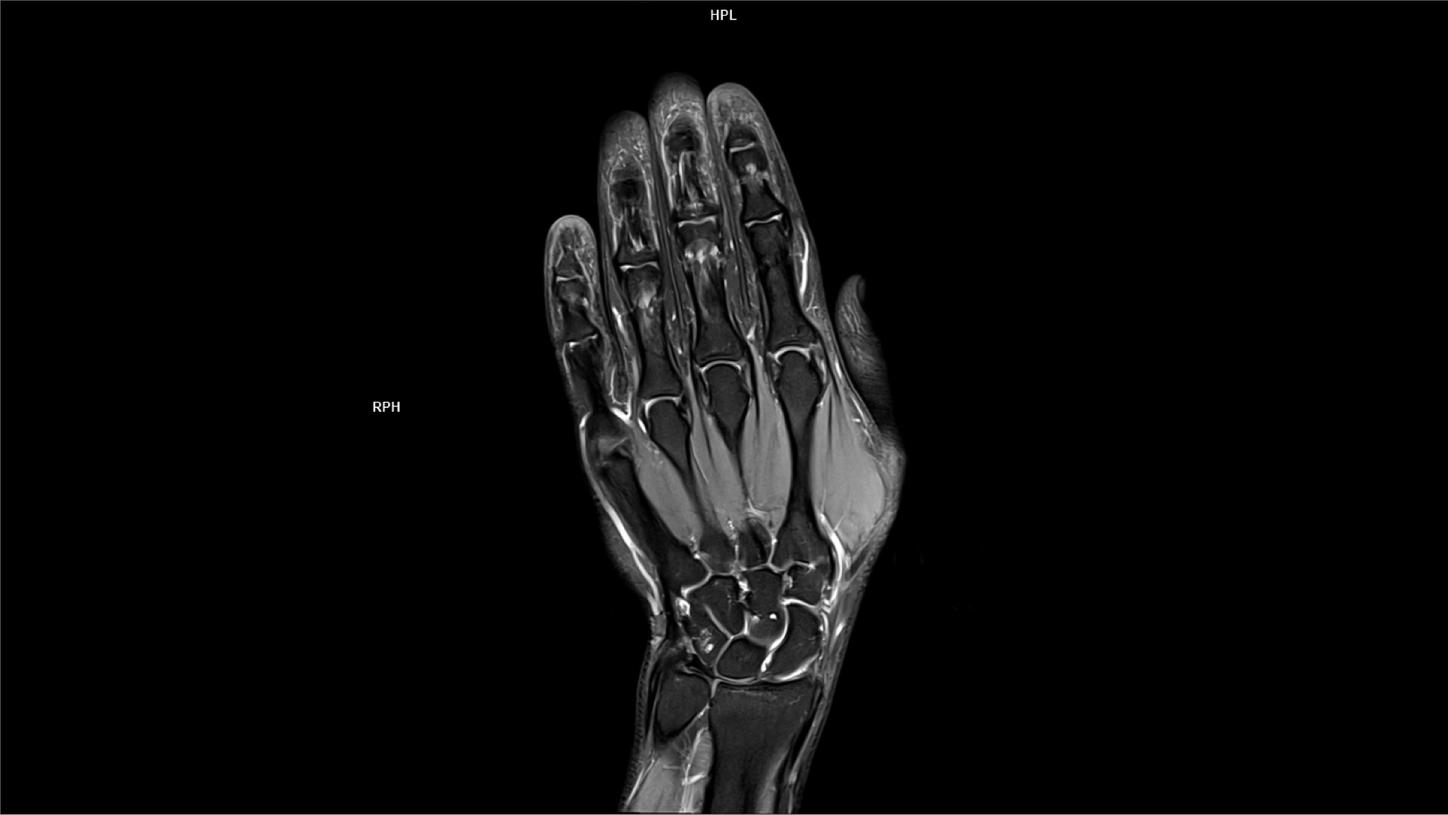
PD Cor FS DR Boost High Resolution-MAGNETOM Lumina
09/12/2022

Coil-Hand Wrist 16/Resolution-.2 X .2 X 2/Scan Time-1:44/Aceleration-p3
Coil-Hand Wrist 16/Resolution-.2 X .2 X 2/Scan Time-1:44/Aceleration-p3
