
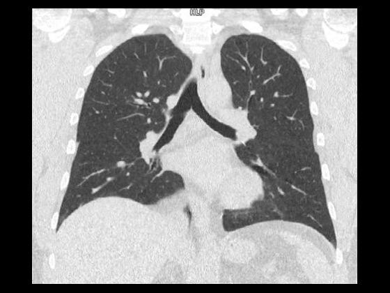
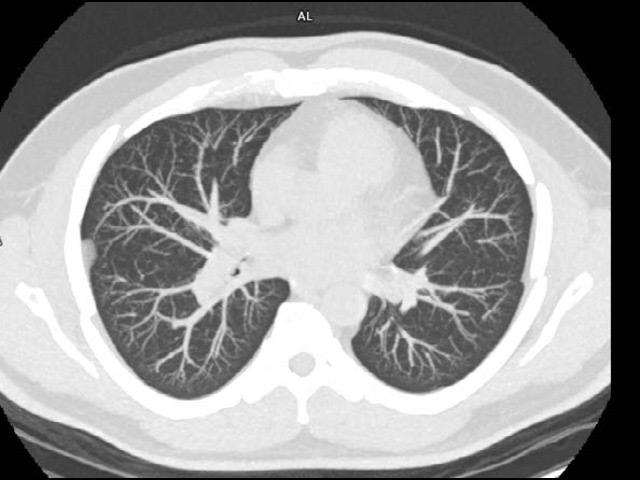
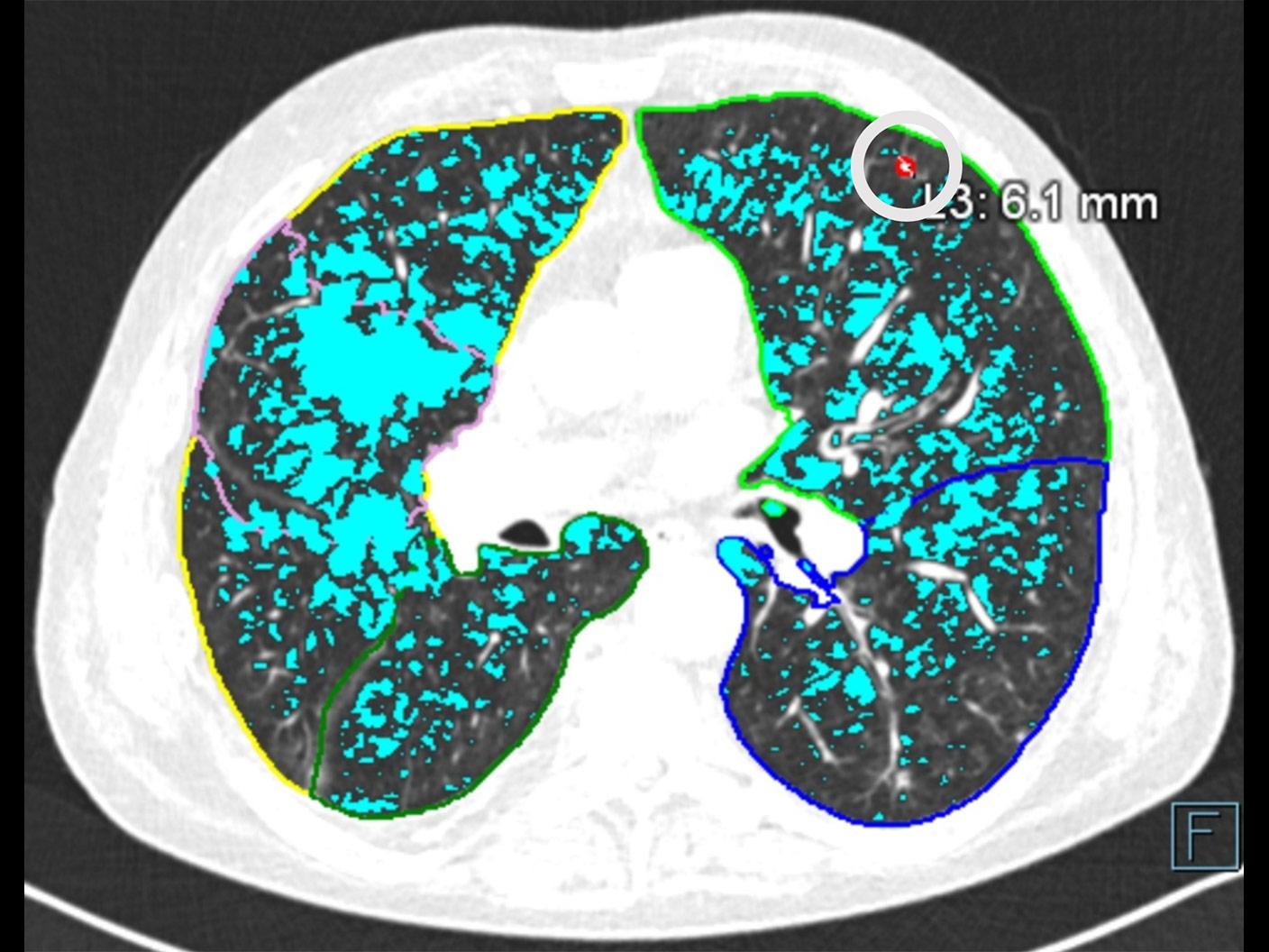
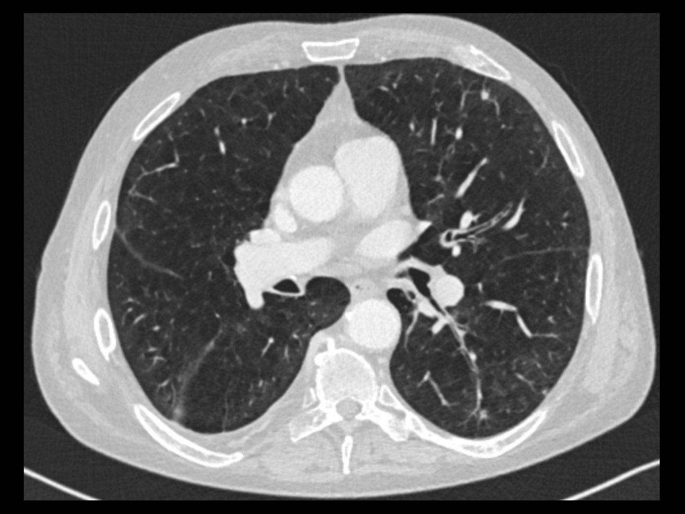
Reach patients in your community with a self-contained trailer equipped with a SOMATOM go.Up CT scanner
With a mobile lung cancer screening program, you can bring the low-dose CT exam that at-risk patients need closer to where they live. With a short set-up, our self-contained Mobile Lung Screening Solution with a SOMATOM go.Up CT scanner offers the high image quality, ease of use, and flexibility you need to create a lung screening program that meets the real-life needs of your community.



