TEQ™ ultrasound technology
07.01.2016

TEQ™ ultrasound technology
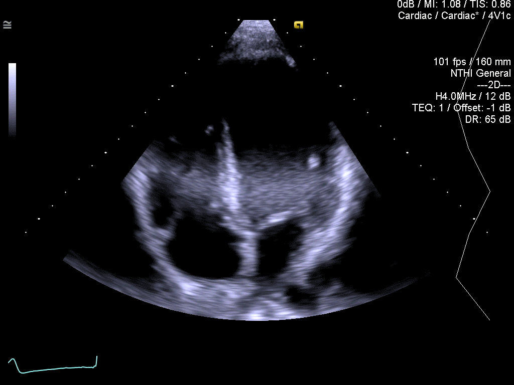
Illustration of hands-free image optimization of a 4-chamber view acquired with 2D transthoracic 4V1c transducer using TEQ™ technology

Illustration of hands-free image optimization of a 4-chamber view acquired with 2D transthoracic 4V1c transducer using TEQ™ technology