Historial
Paciente masculino de 83 años reemplazo quirúrgico previo de la válvula aórtica (SAVR. Se presenta con síntomas recurrentes debido a fallo de la bioprótesis valvular.
Plan del procedimiento
- Acceso femoral guiado por ecografía inalámbrica
- Colocación y despliegue del dispositivo SENTINEL™
- Colocación del guía y del dispositivo con syngo Aortic Valve Guidance
- Despliegue del dispositivo SAPIEN 3
Comentarios
Planificación
Objetivo clínico: Planificación simplificada que contempla una válvula aórtica quirúrgica previamente implantada y tiene en cuenta la posible fractura de la válvula.
Soluciones y características seleccionadas: 3mensio (Pie Medical Imaging) Software semiautomatizado para asistir en la reconstrucción 3D de la válvula previamente implantada y la anatomía circundante, con el fin de determinar el abordaje ideal y el tamaño adecuado de la válvula.
Su uso reduce el tiempo de planificación del TAVR¹ y los resultados de la planificación pueden exportarse para superposición en tiempo real durante la fluoroscopia.
Acceso
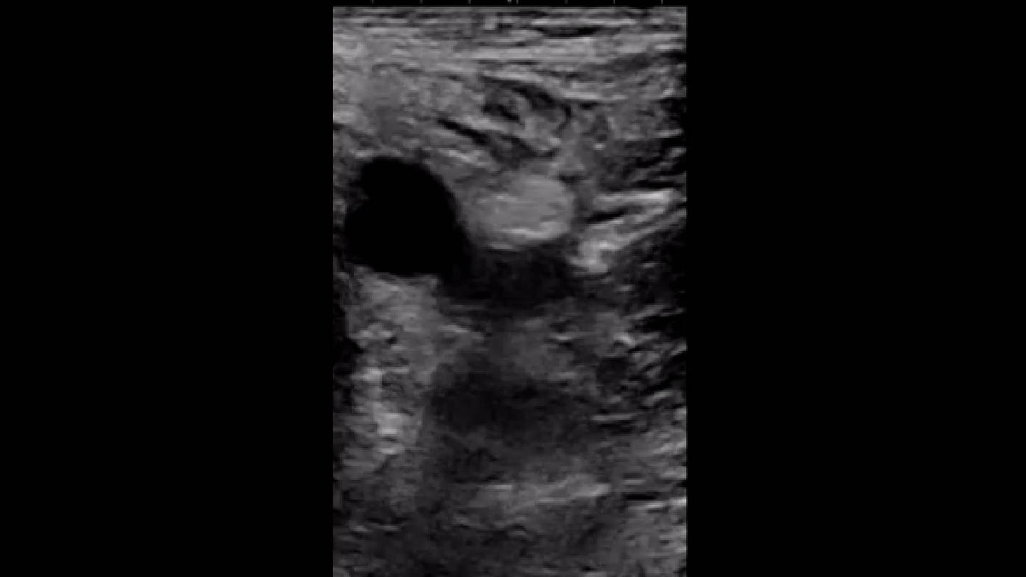
Objetivo clínico: Integración facilitada del ultrasonido como herramienta para ayudar a reducir las complicaciones vasculares.
Soluciones y características seleccionadas: ACUSON Freestyle, Una sonda de ultrasonido inalámbrica, integrada con el ARTIS pheno, se utiliza para realizar el acceso transfemoral. Se ha demostrado que la cateterización de la arteria femoral guiada por ultrasonido ahorra hasta un 92% en el tiempo de preparación del campo estéril y reduce las complicaciones relacionadas con la punción en un 49%².
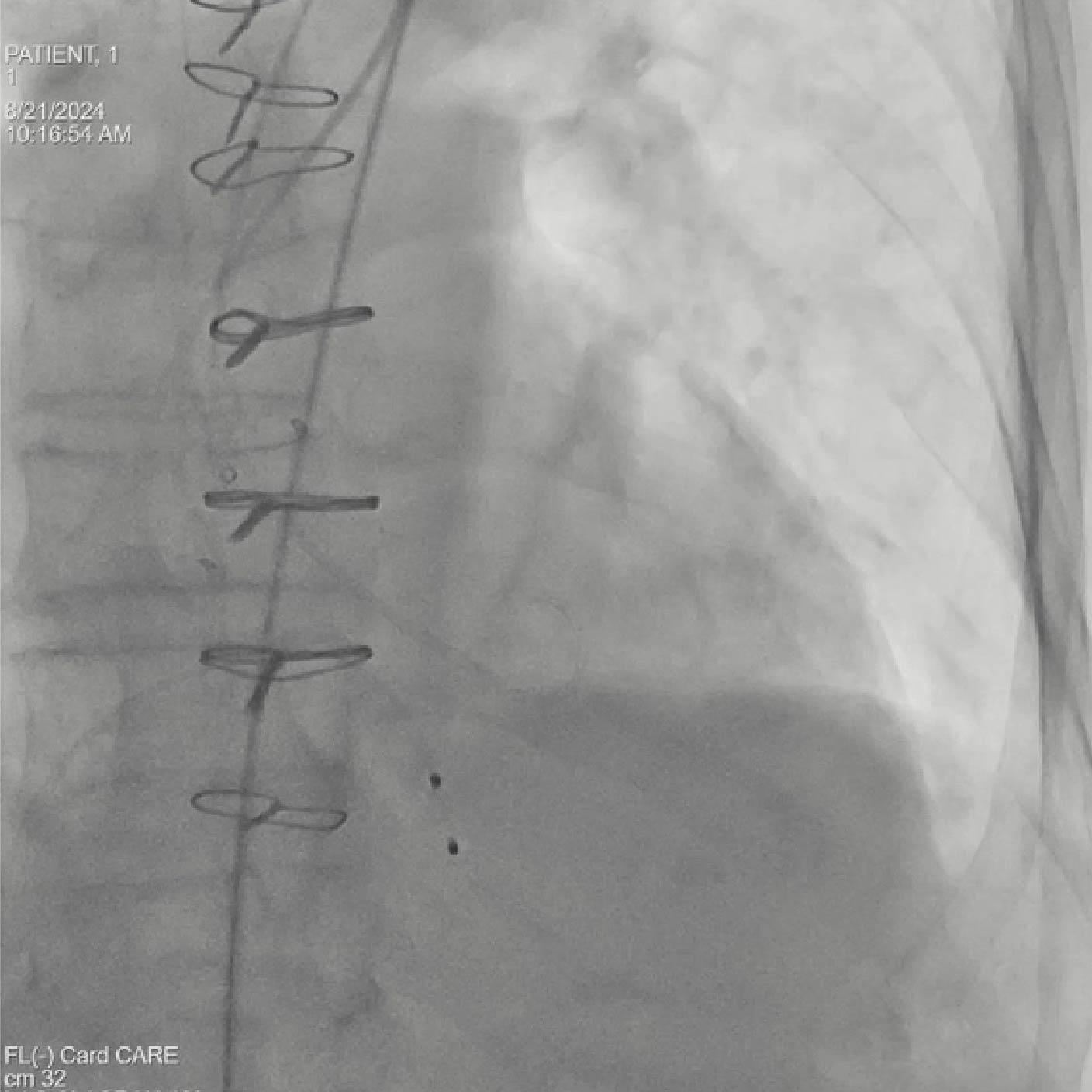
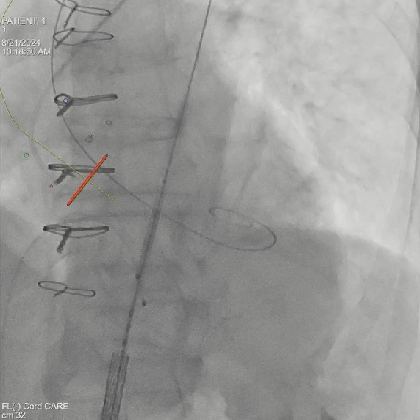
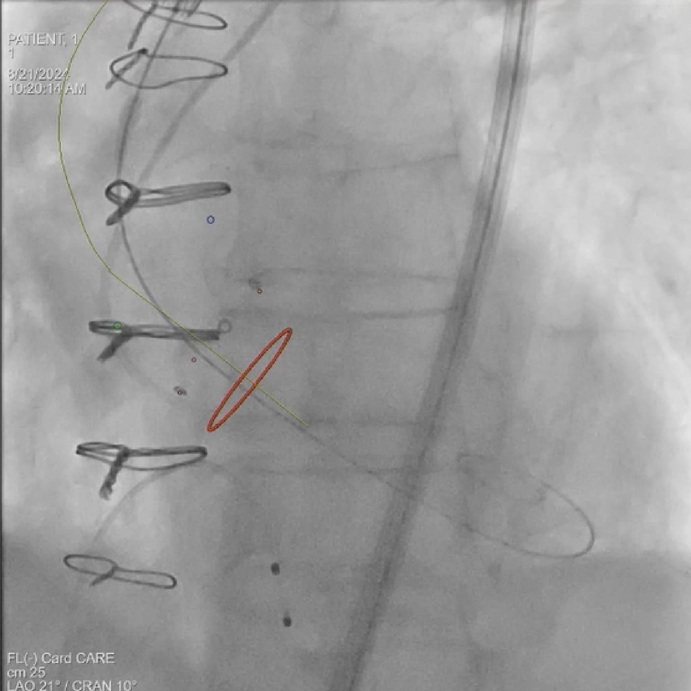
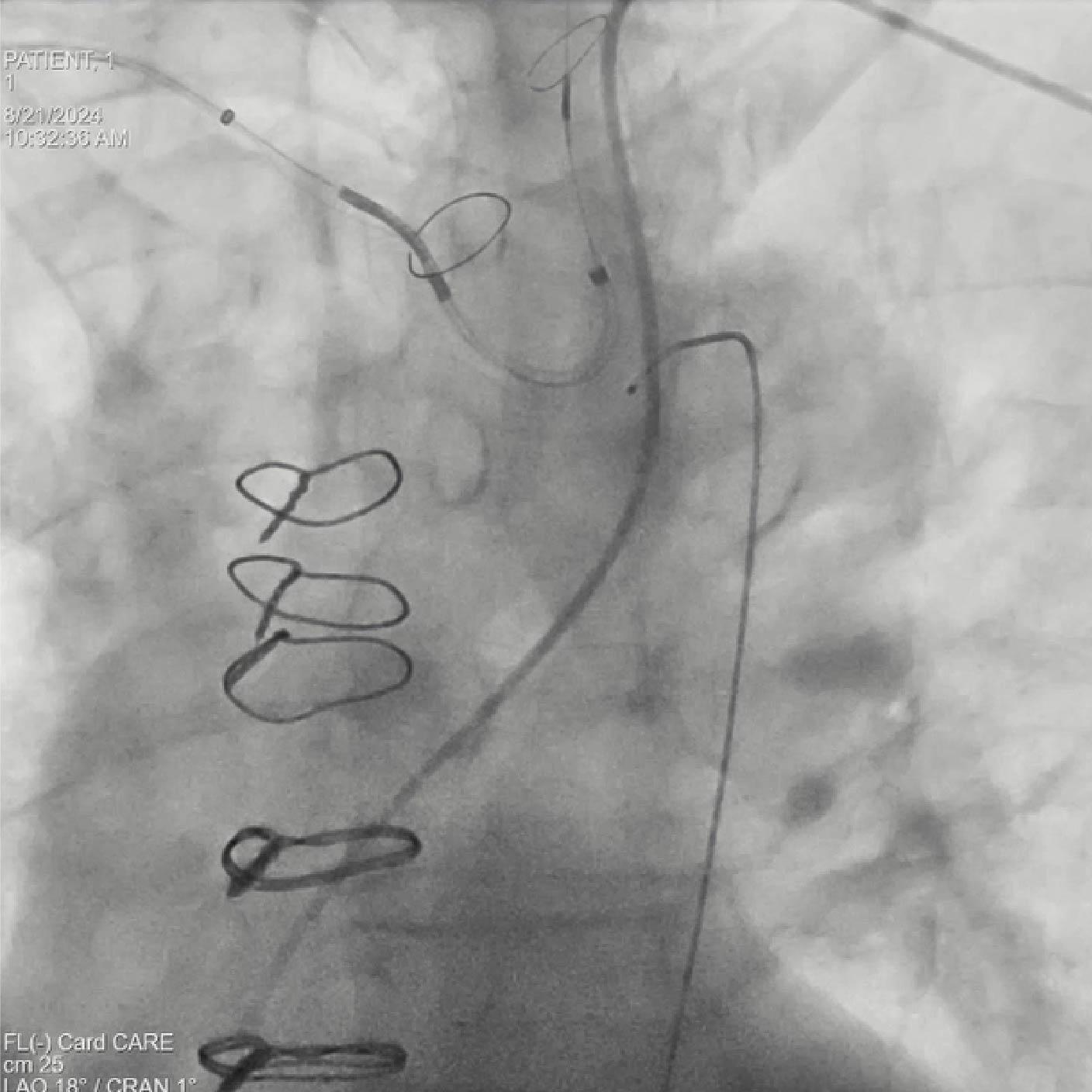
Posicionamiento y despliegue del dispositivo
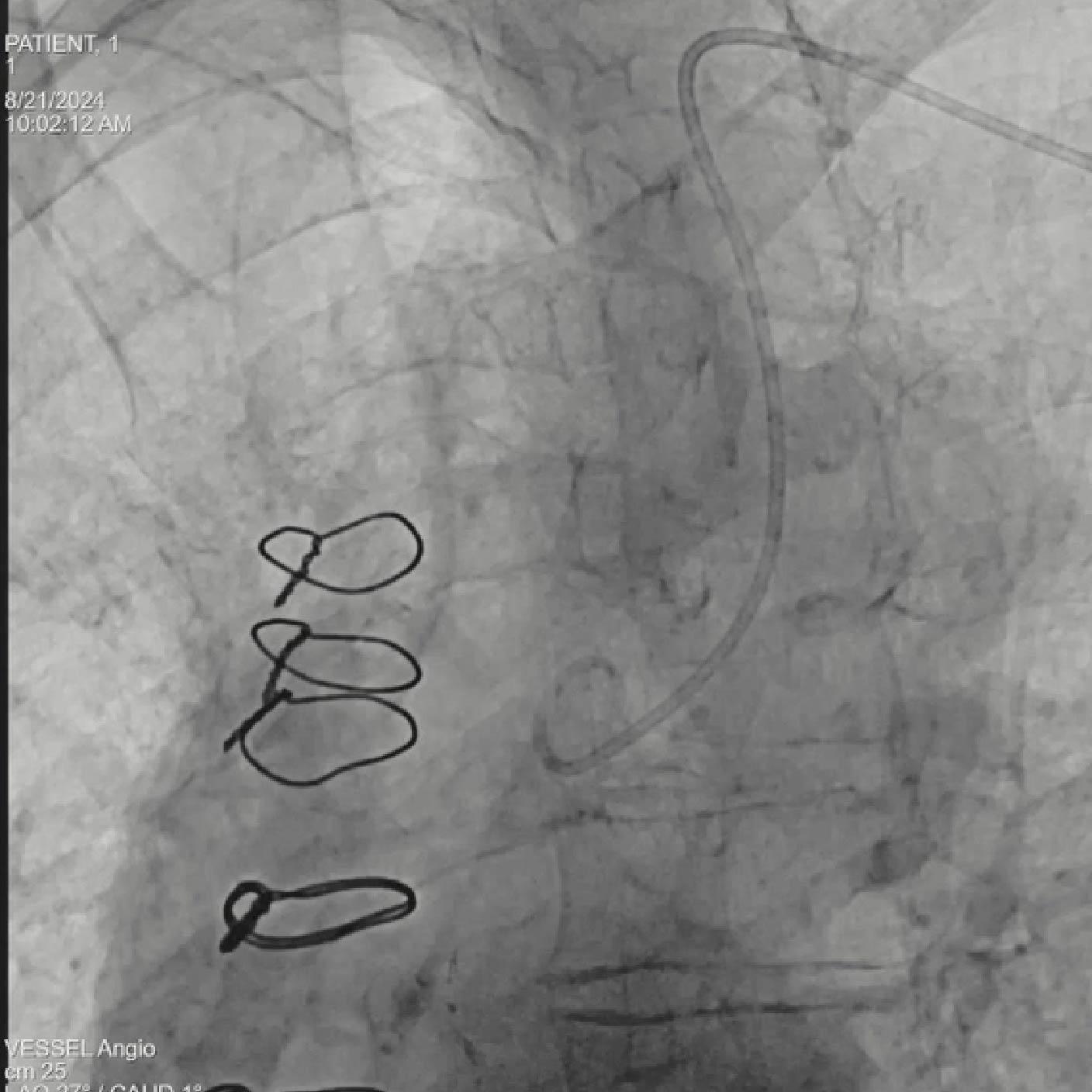
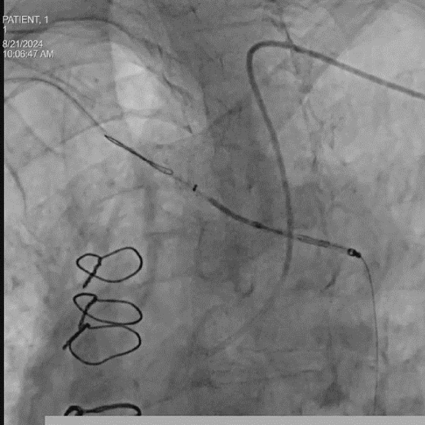
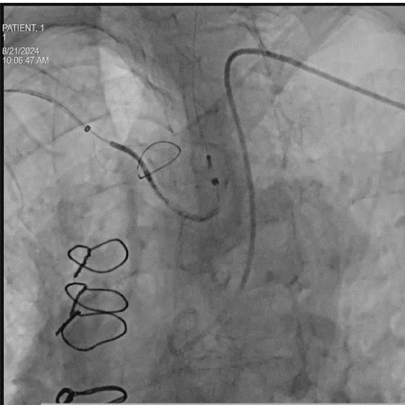
Objetivo clínico: Soporte para la colocación de un dispositivo de protección cerebral como herramienta para mitigar el riesgo de accidente cerebrovascular embólico.
Soluciones y características seleccionadas: ARTIS pheno, Case Flows, Una combinación preestablecida de configuraciones (angulación, disposición de la pantalla, etc.), personalizada para la colocación del dispositivo SENTINEL™*, reduce las interacciones con el sistema. Con Case Flows, una única interacción del usuario reemplaza el ajuste de hasta 6 configuraciones del sistema³. syngo 2D/3D Fusion - Aplicación para superponer la anatomía de la arco aórtico basada en tomografía computarizada sobre fluoroscopia en vivo, para apoyar la navegación del dispositivo. Se ha demostrado que la guía por fusión reduce significativamente el tiempo de despliegue del dispositivo SENTINEL™* y el uso de contraste⁴.
Soluciones y características seleccionadas: 3mensio (Pie Medical Imaging) Software semiautomatizado para asistir en la reconstrucción 3D de la válvula previamente implantada y la anatomía circundante, con el fin de determinar el abordaje ideal y el tamaño adecuado de la válvula. Su uso reduce el tiempo de planificación del TAVR¹ y los resultados de la planificación pueden exportarse para superposición en tiempo real durante la fluoroscopia.
Acceso
Objetivo clínico: Integración facilitada del ultrasonido como herramienta para ayudar a reducir las complicaciones vasculares.
Soluciones y características seleccionadas: ACUSON Freestyle, Una sonda de ultrasonido inalámbrica, integrada con el ARTIS pheno, se utiliza para realizar el acceso transfemoral. Se ha demostrado que la cateterización de la arteria femoral guiada por ultrasonido ahorra hasta un 92% en el tiempo de preparación del campo estéril y reduce las complicaciones relacionadas con la punción en un 49%².













