Historial
Paciente de 62 años que se presenta para mamografía de tamizaje. Luego de la mamografía se hace un rellamado de la paciente por una masa palpable localizada en el cuadrante externo del seno derecho. La paciente no tiene familiares con historial de cáncer de seno y presenta una densidad mamaria BI-RADS B.
Valoración con TiCEM
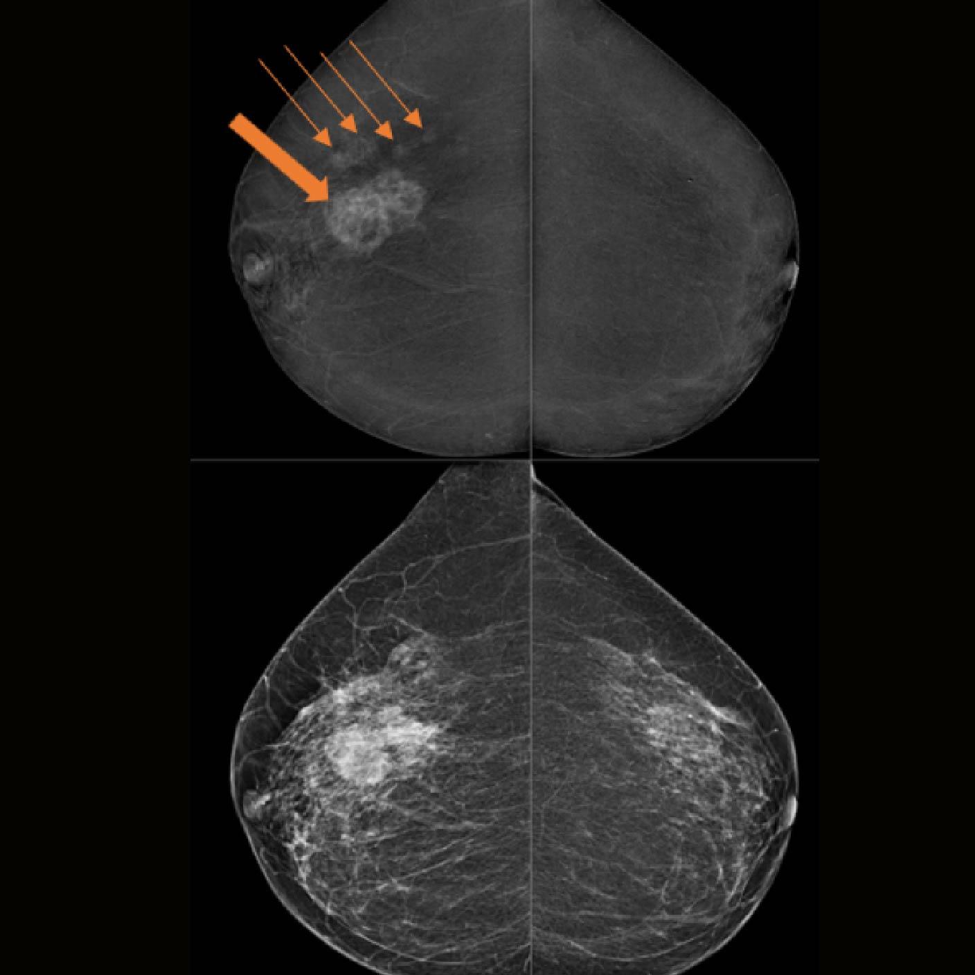
- Confirmación de una masa asimétrica en el cuadrante externo de la mama derecha.
- Detección de otros 4 focos (flechas) que muestran realces variables en un diámetro total de aprox. 70 mm
- Se realizó una Biopsia trucut guiada por ecografía en la masa multifocal del seno derecho.
Diagnóstico
- Se asigna un Bi-RADS 5 en la mama derecha y un Bi-RADS 1 en
la mama izquierda
La patología reportada fue un carcinoma ductal in situ grado 2 (9 horas) y un carcinoma ductal in situ grado 3 (10 Horas) en la mama derecha.
Conclusiones generales
Las indicaciones más probables para realizar un proceso de mama con contraste podrían ser:
• Aclaración de hallazgos no concluyentes después de imágenes con vencionales o ultrasonido, evitando así falsos positivos o falsos negativos.
• Detección de lesiones ocultas.
• Estadificación preoperatoria, evaluación de multifocalidad y multicentricidad.
• Seguimiento de la eficacia de la terapia sistémica neoadyuvante.
Debido a la inyección del agente de contraste, Lo más probable es que sólo se utilice para estudios de diagnóstico y no para una posible etapa de Cribado.


