Pedro Macedo Esmeraldo Barbosa MD , Mario Lucas Musial RT Michael Silva
El Diagnósticos - São Paulo – Brasil 2 Siemens Healthineers, Latinoamérica
Historial
Paciente masculino, 76 años, en investigación de insuficiencia cardíaca clase funcional NYHA II. Se realizó ecocardiograma transtorácico evidenciando dilataciones biatrial y biventricular, disfunción diastólica grado III del VI, FEVI 37% y PSAP 60mmHg. Fue remitido para Resonancia Magnética cardíaca (RMC) para una mejor definición diagnóstica.
Hallazgos de la Resonancia Mágnetica
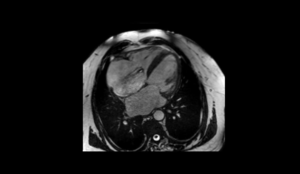
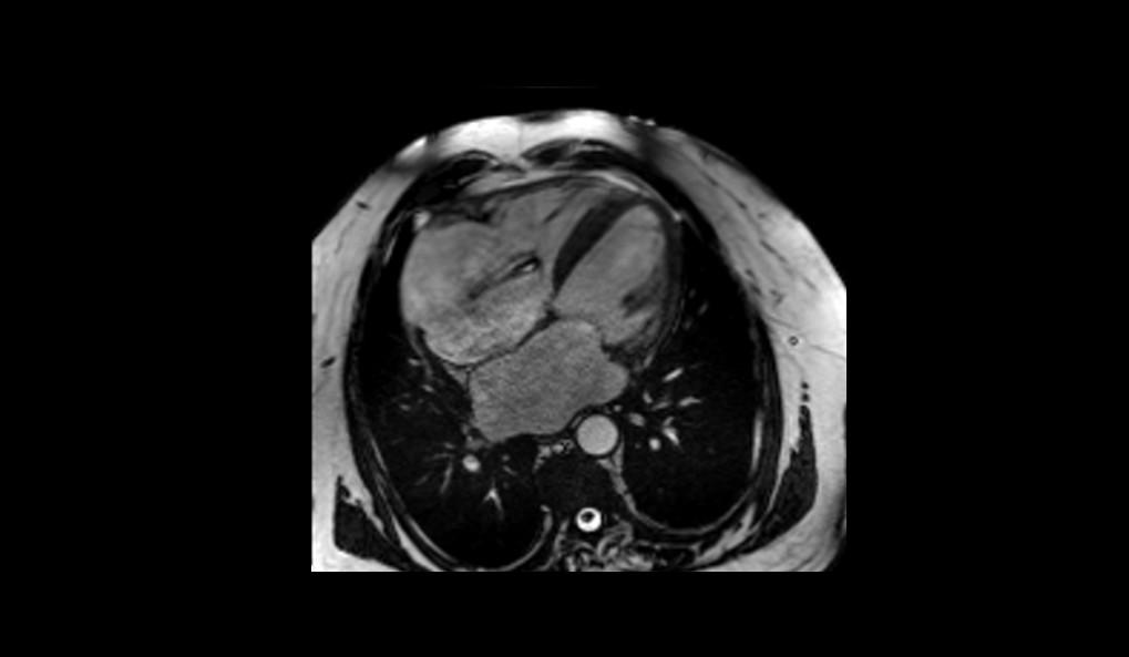
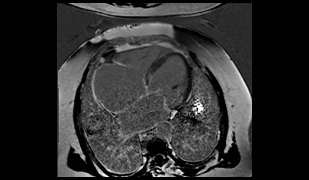
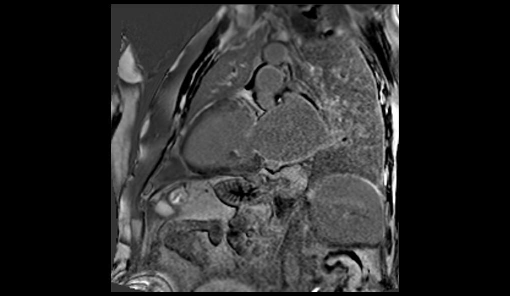
El examen de RMC se realizó en el equipo MAGNETOM Altea 1.5T. Se realizaron secuencias de CINE PSIF, FSE black-blood T1 y T2, phase-contrast, mapeo miocárdico (MyoMaps) T1/T2/T2* y LGE TRUFI high-resolution después de la inyección de contraste (DOTA-Gd 0,5M 0,2mmol/kg).
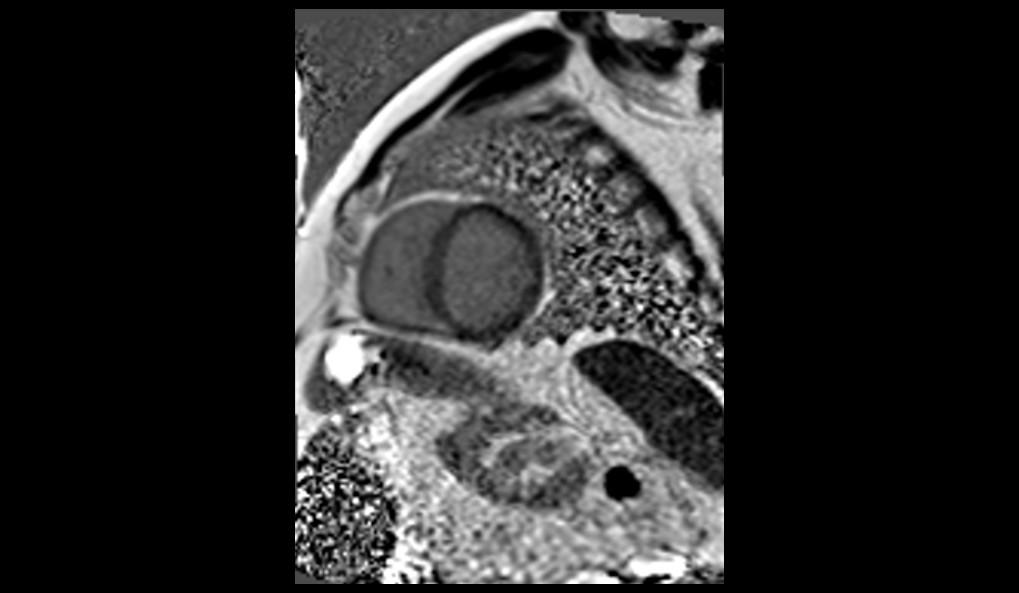
La RMC evidenció dilatación biatrial importante (AD=170ml/m2 y AE=120ml/m2), dilatación biventricular discreta (VDFVD=115ml/m2 y VDFVE=103ml/m2), FEVD 49%, FEVI 45%, rectificación del septo interventricular, insuficiencia tricúspide moderada, derrame pericárdico discreto, realce tardío heterogéneo en VI de patrones mesocárdico y subendocárdico en segmentos anteriores, anteroseptales, inferoseptales, inferiores y anterolaterales con distribución predominante medio-basal y realce tardío biatrial estadio UTAH IV. El MyoMaps en septo interventricular reveló elevaciones de tiempos T1 nativo (1070ms), T2 (58ms) y del volumen extracelular (33%) con T2* normal (28ms).
Diagnóstico
Los hallazgos de la RMC son compatibles con el diagnóstico de amiloidosis cardíaca. El patrón de cardiomiopatía dilatada con realce tardío (fibrosis) multisegmentar en VI, evitando segmentos apicales, elevaciones de T1 y VEC y fibrosis biatrial son hallazgos típicos de amiloidosis, especialmente en el subtipo ATTR. La Resonancia Magnética del Corazón, a través de su evaluación multiparamétrica, permite una diferenciación etiológica precisa de las cardiomiopatías, siendo indicada por las mejores guías como examen diagnóstico de primera línea en la investigación de insuficiencia cardíaca.
Comentarios
El examen de RMC, realizado en el equipo MAGNETOM Altea 1.5T, presenta una amplia disponibilidad de secuencias con alto detalle de imágenes que facilitan el diagnóstico, haciendo más práctica, accesible y precisa la investigación de cardiomiopatía.








