Historia del paciente
Paciente de 56 años con un accidente cerebrovascular despertado, presentando hemiparesia en el lado derecho y disartria, NIHSS 11.
Diagnóstico
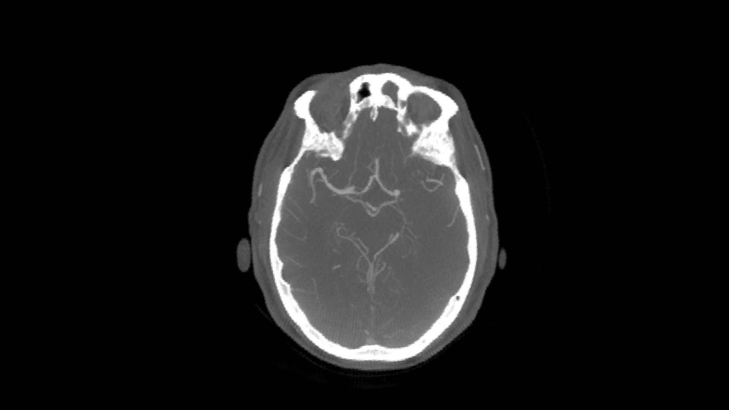
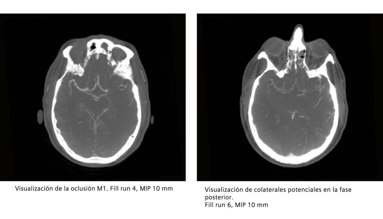
Oclusión de la M1 en el lado izquierdo debido a una estenosis aterosclerótica intracraneal subyacente.
Tratamiento
Trombectomía mecánica e implantación de stent
Consejos y trucos
El syngo DynaCT Multiphase consta de 10 rotaciones consecutivas que dan como resultado 10 volúmenes. Comience la inyección con el inicio de la adquisición de la serie. Los primeros dos volúmenes se requieren como serie de máscara para la posible reconstrucción de los mapas de perfusión.* Los otros 8 volúmenes son series de llenado.
*Se requiere software de terceros. El cálculo de mapas de perfusión aún no está disponible comercialmente.
Protocolo
La representación gráfica muestra el flujo de trabajo que incluye dos "mask runs"
Primera ejecución de syngo DynaCT Multiphase antes de la trombectomía
La representación gráfica muestra el flujo de trabajo que incluye dos "mask runs"
Post-trombectomía e implantación de stent
La representación gráfica muestra el flujo de trabajo que incluye dos "mask runs"




